Issue 6

Issue 6

May 2021

Switch to PDF View
Issue 6

Letter from the Journal

Dear science enthusiasts,
As usual, we are super excited to announce the final issue, May 2021 Issue, of the Youth Science Journal’s first volume! If you remember, we said that our April 2021 issue was the biggest one yet! We have not stopped developing from then and have topped our last issue even more by creating a larger issue! With 7 articles coveringthe most diverse topics from exo-planets to asteroid defense mechanisms to open-source software education, weencourage you to take the time to read this one! When we founded this journal, we had only one goal in mind; “promoting high-school research among youngresearchers.” Without a doubt, we are extremely excited to say that we have achieved a great part of that goal.Since May 2020, the Youth Science journal boasted 6 issues with 30 scientific articles discussing mind-blowing topics from various unique fields! In fact, till now, the Youth Science Journal featured 15 different captivating fields in our issues: Neuroscience, Psychology, Computer Science, Chemical Engineering, Aerospace Engineering, Astronomy, Astrophysics, Materials Science, Biomedical Engineering, Biotechnology, Neuroengineering, Artificial Intelligence, Physics, Mechanical Engineering, and Environmental Science.Furthermore, the platform attracted more than 3500+ readers from all over the world reading our articles! This journey was not an easy one though; thus, we would like to thank every contributor, writer and our school for helping us through the management challenges we faced, general problems, and overall motivating us to keep going! However, although this volume was an astounding success, we still think there is more space to improve, more people to help into the world of research, and more ways to develop! Over the next months, we will start revamping the journal to start the new volume as fresh as ever. We will start by rebuilding our team structure for a more efficient workflow, which will include the opening of the team’s recruitment, improve the journal’s format and even change our year-old logo! So, stay tuned on our page for the brand-new logo and recruitment! We would like to end this letter by saying this all would not be plausible without your support and feedback in helping the Youth Science Journal develop, nurture, and constantly improve. So, we, the Youth Science Journal community, would like to offer our warmest gratitude! Best Regards,
Gasser Alwasify (President)
Saif Taher (Vice-President)
Moemen Ibrahim (Vice-President)
Akmal Hashad (Editor-in-Chief)

Apophis: Jurassic extinction vol.2, or an amusing stargaze?

Abstract 65 million years ago, 77% of life on earth faced Armageddon in one of history's greatest mass extinctions due to a 15km asteroid strike. Dinosaurs never had space agencies, but humans do. Scientists were able to develop mechanisms for asteroid defense that can aid us when there is a fear of strikes in the shape of asteroids, which is what mankind will have to face by 2029 with Asteroid 99942 Apophis.

I. Introduction

Approximately 65 million years ago, an asteroid roughly 10 km in diameter hit the Earth with such a gigantic impact that it killed 77% of the species that were living on the planet then [1], including the beloved dinosaurs that fill fictional stories and tales. This was the most hazardous asteroid impact recorded in the history we know. Most recent asteroid impacts were the Tunguska impact that wiped out a forest in Siberia the size of Los Anglos in 1908, and the Chelyabinsk asteroid that caused significant damage to 7,200 buildings and injured over 1,500 residents in Russia 2013 due to its highly hazardous shockwaves caused by the explosions inside the asteroid due to its internal pressure. All of which takes us to our closest estimate of an asteroid impact, Apophis. Apophis, pronounced Uh-pu-fis, is an asteroid that caused loads of concerns since its discovery in December 2004 which will be discussedmore in-depth in the rest of the article.

II. What is an Asteroid?

Before we unravel the threats caused by Apophis, some names have to be first clarified to avoid any confusion. Most people often mix up Asteroids, Meteors, Meteorites, Meteoroids, and Comets all together assuming they are just flying space rocks. But the fact is that they're different from each other in several ways and characteristics. [2] Asteroids: An asteroid is a rocky or metallic object orbiting the sun with a diameter greater than 1 meter, most asteroids in the solar system lie between the orbit of Mars and Jupiter and are known as the asteroid belt, but a lot of asteroids tend to havedifferent orbits that pass nearby our planet. Meteoroids: A meteoroid is a rocky or metallic object in space smaller than 1 meter in diameter. Meteorites: A meteorite is a meteoroid that makes it to the earth's surface. Meteors: A meteor is the streak of light caused by a meteoroid burning due to its entry into the atmosphere. Comets: A comet is an icy object orbiting the sun which usually spends most of its orbit outside the solar system making them far less hazardous than asteroids.

III. How often do NEOs hit the earth?

Figure 1
Figure 1: Fireballs reported and their impact energy
NEOs, otherwise known as Near Earth Objects, are meteoroids and asteroids orbiting in the solar system. And at some point, these objects tend to get uncomfortably close to our planet so they usually have to be tracked by scientists all around the world to keep taps on whatever may affect us. At a certain point when these objects are big enough to be considered as a potential threat, they are named PHA (Potentially hazardous object). But the question is, do all PHAs hit the earth? To answer this question, take a look at figure 1 and think to yourself, do they always hit the earth?

Smaller-sized NEOs typically hit the earth every day. At this particular moment, there is actual space debris entering the earth varying in size from grains of dust to small rocky objects that may or may not burn in the atmosphere, which can be classified as PHAs. But how about the bigger-sized ones, maybe ones the size of the one that caused the Jurassic mass extinction? Due to the existence of the earth's best buddy, the moon, astronomers can study the history of meteor impacts and asteroids; that is due to the moon's surface which is filled with meteorite craters. And due to the absence of an atmosphere strong enough to cause weathering on the moon, these craters remain untouched from the moment the moon was formed. According to studies of craters around planet earth and on the moon, astronomers learned that Asteroids the size of the one that killed the dinosaurs usually tend to hit earth once every 100 million years on average. The ones the size of Tunguska impact tend to hit on average once every 200 years. And small asteroids like the one in the Russian impact of 2013 usually happen once every decade. But the question remains, what if an asteroid the size of Apophis -500 meters in diameter-approaches earth as a PHA, what can astronomers do in this situation?

IV. Asteroid Defense Mechanism and DART

A profound question: what if dinosaurs worked in space agencies that developed strategies to protect themselves from the asteroid mass extinction? Could they have saved themselves from ceasing to exist? As this is a profound question, it can't be answered. But what is known is that dinosaurs didn't even know they were going to meet their doom except when they saw a streak of light growing exponentially until it landed on earth and took out 77% of earth's species. So what if they had enough warning time, could they have used their natural instinct to run away from the asteroid? Since humans aren't dinosaurs, humans do have a lot of working space agencies filled with brilliant minds that protect us from dangers similar to asteroid strikes, as well as tell us about the universe we live in. Scientists throughout the years have developed an Asteroid Defense Mechanism formed of five steps to protect mankind from such massive disasters.

  1. Finding:
  2. Figure 2
    Figure 2: An asteroid in the sky
    Astronomers around the world tend to spend most time of their night gazing in the dark sky and studying it. You may think that every star you see in the sky is just different from the other stars in temperature, size, and distance from earth. But it's more complicated, from our dark sky we can see stars, asteroids, planets, nebulae, and a lot more. Asteroids tend to be moving a lot faster in our sky relative to the rest of the celestials in the sky, which makes them appear to be moving while everything around them is still. Astronomers can find asteroids in our sky by looking out for an object moving while the rest of the stars around them are still in the frames they capture by telescopes. As shown in figure (2).
  3. Tracking:
  4. After an observer has found a NEO in the sky, it is sent to the IAU (International Astronomy Union ) to the minor planet center where the data is published for other observers around the world to keep track of the asteroid in the sky using radar to determine the distance between the earth and the asteroid, and taking multiple observations to calculate the asteroid's orbit using Kepler's laws.
  5. Characterizing:
  6. Several methods are used to determine the characteristics of the asteroid -spin rate, chemical, and physical properties, and whether it is a single or a binary pair. – From these methods are:
    Figure 3
    Figure 3: Brightness vs. time graph
    Brightness vs. time: it is a method to observe the brightness of the asteroid over time to determine the physical properties of the asteroid using its reflective ability as shown in figure (3).
    Figure 4
    Figure 4: Spectrograph of an asteroid
    Spectrographs: According to the chemistry of any element, each element absorbs certain bands of the light spectrum which can tell us about the elements inside the asteroid as shown in figure (4). Radar: To determine the distance between the Earth and the asteroid. Thermal infrared imaging: To determine the temperature of the asteroid.
  7. Deflecting:
  8. After being able to find, track, and study the details of an asteroid, if it was assumed that a certain asteroid may resemble a threat to earth, how can this situation be dealt with? Astronomers have developed several methods to deal with this type of situation if we have enough warning time before the asteroid strike: Kinetic impactor: it is a system launched from the earth to strike the asteroid in just the right amount of kinetic energy to be able to change its orbit around the sun to push it away from the earth and prevent the Earth gravity to pull it down and strike the earth. Gravity tractor: it is a system that works with only smaller-sized asteroids by revolving around the asteroid and affect its gravitational field according to Newton's universal gravitational force law and change its orbit around the sun to push it away from the Earth. Let us assume we don't have enough warning time, what can be done at this particular instant? Usage of nuclear weapons to destroy the asteroid is one of the most effective methods but it's politically challenging for space agencies to use such a dangerous method and avoid the concern of where the asteroid remains would go. The usage of powerful lasers to blow up the asteroid is also considered an effective method. None of these methods have been tested before, but the first asteroid deflecting kinetic impactor experiment (DART Mission) will be launching in November 2021.
  9. International Coordination:
  10. Asteroid Deflection is a very serious step to establish, let's say that an asteroid is estimated to land somewhere in the state of New York in the United States, but the asteroid gets deflected by a kinetic impactor to change its landing site to Toronto in Canada; the Canadian government is not going to be happy. This is why International Coordination between space agencies worldwide is a must in these situations.

V. Where does Apophis stand here?

Figure 5
Figure 5: The orbit of Apophis (NASA)
Apophis -otherwise known as 99942 Apophis- is an asteroid estimated to be 340 meters in diameter, since its discovery in 2004 it has raised a lot of concerns throughout the media due to its extremely close approach to earth in a couple of years. On 13 of April 2029, Apophis is going to be 30,000 Kilometers away from earth, about 10 times closer than the moon, closer than Earth's geostationary satellites, and will be seen by the naked eye in the sky. Apophis is a name from Egyptian Mythology where Apophis was the mortal enemy of Ra' the sun god. Apophis was thought to bring eternal darkness every night on Earth until Ra' defeats him at sunrise, thus bringing Earth back to light. Imagine how deadly this asteroid may have been if named after eternal darkness? Studies have shown that if Apophis were to hit Earth it would cause destruction extending for hundreds or thousands of kilometers with a strike the power of 1000 megatons of TNT. For a while, Apophis has been thought of as the Jurassic Impact vol.2 and the beginning of the end of the human era. Thanks to NASA's brilliant minds, a deep analysis has been formed on Apophis using the Asteroid Defense Mechanisms which is being updated monthly. [3] NASA was able to determine the precise orbit of Apophis approaching Earth as shown in figure (5).

Calculations done by JPL (Jet Propulsion Lab in Caltech) show that there would be a 2.7% possibility of an impact in 2068, but it was quickly ruled out after doing more calculations. [4] However, there are thousands of external sources that may affect the orbit of Apophis in the slightest move, causing an error in these calculations. What makes us sure that another massive object in the solar system won't affect Apophis with gravitational energy causing a change in orbit? Or a possible natural kinetic impactor such as a small-sized asteroid causing a slight change of orbit? There are endless possibilities for this particular situation. That's why the Asteroid Defense Mechanisms have been in continuous development in the past years, to protect mankind from armageddon caused by asteroids. The planetary society organization has partnered up with the International Astronomy Union to give annual grants for Shoemaker NEO Trackers that track asteroids every night to aid the Minor Planetary Center in establishing the Asteroid Defense Mechanism system. Shoemaker NEO Trackers are amateur and professional Astronomers who designate their time at night tracking Near Earth Objects and Potentially Hazardous Objects such as Apophis, like the night guards of planet Earth, they provide a huge amount of data every night to the International Astronomy Union. Thus, protecting planet Earth from Apophis and other PHOs. Apophis isn't the only PHO in our solar system, estimates from the IAU show that there are about 3,400 PHOs in the solar system and thousands more that haven't been discovered yet.

VI. Conclusion

Awareness needs to be raised regarding Asteroid Defense Mechanisms and how scientists can contribute to providing a safe life for mankind. Also, more funds need to be given to space agencies to develop their strategies of Asteroid Defense, if fear strikes at any time, space agencies coming together will be our only hope.

VII. References

Does Eidetic memory and photographic memory exist: An in-depth investigation of Eidetic memory

Abstract Imagine being able to flick a screenshot of what someone is looking at. It sounds like photographic memory, a superhuman skill. The concept of storing everything someone has ever seen, filing it away like a file in a cabinet, and remembering it with all the needed details. The ability to perceive an object shortly after looking away is known as eidetic memory. The vision lasts for a few seconds or even less than one second for most people. Accordingly, in 1964, a study was made to conduct the relationship between eidetic memory and age. In their experiments, children were able to obtain the best results when asked to describe the components of a certain image after seeing it for 30 seconds. However, some people still have the ability to memorize books, images, and all types of texts in a feature known as photographic memory.

I. Background

Eidetic memory refers to a person's ability to recall a huge number of pictures, sounds, and objects in an apparently infinite volume [1] . Eidetic means "very precise and vivid recollection of visual pictures," as the name implies [2]. What is known about this type of memory is that it is also known as photographic memory or enhanced memory. People with this exceptional ability can recall and visualize a whole city's skyline after only one brief helicopter ride, for example. Eidetic memory, as previously said, allows a person to retain numbers, sentences, and sights, but it is frequently noticed that the individual does not have remarkable memory in other areas. What is unknown about this talent is that it may be developed in a variety of ways to remain not only by childhood but also after maturity. This is a significant topic since it symbolizes a considerable talent, perhaps even a superhuman ability. This is associated with its significance to individuals and how it might improve their lives. The mechanism of this ability will be studied in this research, along with examples of persons who possess it. The information presented below depends on a variety of reliable sources and research articles.

II. Mechanism

The brain is widely considered to be the organ in charge of the body's whole range of activities. The posterior parietal cortex is where eidetic memory takes place. The parietal cortex is responsible for integrating data from many senses to create a cohesive picture of the environment. It combines information from both the visual and dorsal pathways. This skill helps us to respond to items in the environment by coordinating our motions. The parietal lobe is also in charge of human bodily sensations including touch, temperature, pressure, and pain. As a result, this area of the brain is extremely critical to the human body. Furthermore, this area of the brain is responsible for a variety of memory functions, including eidetic memory [3]. Any damage in the posterior parietal cortex can lead to a neurological order named Hemi spatial neglect. Individuals suffering from this condition are unable to pay attention to people or objects on the side opposite the affected region. Those patients may only eat from one side of their dish or dress one side of their bodies. Even in their imaginations, this visual neglect existed [4] . Several studies have shown that the parietal cortex is important in short-term memory, such as Eidetic memory. In the brain, it is responsible for the generation of visual pictures. A little is known about long-term memory, and it varies from one individual to the next. During neuroimaging, the parietal cortices are commonly active. According to research, when correctly recognizing old items or photographs rather than fresh ones, the posterior parietal cortex showed a lot of activity. This helps to demonstrate that the brain has the ability to recall a previously stored image [5]. This great activity in the posterior parietal cortex also demonstrates that neuroimaging is not restricted to a certain age group. This means that adults may recall texts and images based on their superpowers rather than their age. Mnemonics and other approaches have proved to improve memory to recall images and texts better can be used to enhance this talent and be able to behave better at memorizing things [6] . According to research published by the National Academy of Sciences, children up to the age of 12 can store and retain pictures and sentences in a visual form in their brain, as well as the ability to interpret this information again. Adults cannot perform this talent, although it is still possible for certain people to recall visuals in their brains. This may be linked back to their minds and the posterior parietal lobe's ability to retain images. Although this talent is extremely rare in adults, it does come in the form of Photographic memories. It's worth mentioning that eidetic memory only lasts a short time; but, with training or redundancy of pictures and visuals, they may be kept permanently and retrieved at any moment, resulting in photographic memory [7]. There are undoubtedly certain cases that stand out when compared to the regular circumstances in which this phenomenon occurs. Some people, for example, still retain the ability to conjure up a whole mental image that may remain for a long period. Those individuals may even be able to draw the text or image based on their own visions. Stephen Wiltshire is as near to a human camera as you can get [8]. In other cases, some people can have the ability to remember everything in their life including all details that occurred, even if the event is from a long time ago. HSAM, or Highly Superior Autobiographical Memory, is the term given to this condition [9].

III. Conclusion

Finally, despite the disagreement among scientists over the existence of photographic memory and eidetic memory, all of the mentioned cases and information are nothing more than proof that humans can have the ability to retain their knowledge in the form of visuals. According to research, exercising four hours after any event might help people remember things better. Finally, although memories are fairly real, although maybe not living, trust in them makes them more tangible. As Said by Steven Wright: "everyone can have a photographic memory, some just do not have the film".

IV. References

The Role of Neuroplasticity in Learning

Abstract Neuroscience is one of the greatest supporters in the understanding of human physiology and what actually makes us who we are. How do we learn? Why do some people learn things more quickly and easily than others? We will go on a journey inside the most complex organ in the universe learning more about the science of Neuroplasticity while we try answering these questions. After reading this article, you will leave with a new recognition of how majestic your brain is. Your plastic brain is regularly and continually being formed by the world around you. That change can be for the better and even for the worse. Understanding that everything you do, encounter, and experience can change your brain is a crucial thing. Moreover, learning is not that easy. It involves a physical structure change to your brain and in order to do that you have to practice, exercise, and struggle more to achieve your dream.

I. Introduction

Everything we understand about the brain is developing at a stunning and astonishing pace; what we thought we understood about the brain turns out to be inaccurate and incomplete. For example, we used to believe that the mind couldn't change after childhood, which is a misconception. Another misconception is that the brain is silent when we are at rest; however, it turned out that even when we are thinking of nothing, our brain is extremely active. Later, many progressions in technology such as MRI allowed us to make many important discoveries. Perhaps the most exciting and intriguing one is thatthe brain is changing every time we learn a new fact or skill. Our brain is actually changing with every single behavior we do. It is what we call the science of Neuroplasticity. The brain could change in two different ways to sustain learning. The first one is in a chemical way such that the brain works by transferring chemical signals between neurons and this triggers a sequence of actions and reactions, but this only supports shortterm improvement. The second is by modifying its physical structure during learning since the brain can actually alter the connections between neurons changing the arrangement and composition of the brain and it takes more time. This is related to longterm improvement. Structural changes also can form integrated networks and regions that function together for learning and create specific regions essential for particular behaviors, changing the structure of the brain in the process [1].

II. The Brain

Did you know obviously that your brain is needed for everything we do - how we think, feel, and act. The brain is the most complex organ; there is nothing as complex as the human brain. It is reckoned that the brain ought one hundred billion nerve cells, and every two cells are not connected to each other in a one-to-one connection but up to ten thousand individual connections. So, fun fact: you have more connections in your skull than there are stars in the universe. Moreover, even though your brain is 2% of your body weight, it uses 20-30% of the calories that you consume. So, about the breakfast you had this morning, almost the third of it goes to feed this 2% of your body's weight [2] .

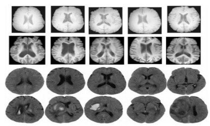
Figure 1
Figure 1: MRI images of healthy and unhealthy brains
Furthermore, the brain is the main organ of personality, character, judgment, and innovation. So, when your brain works right, your work is excellent; and when your brain has trouble, you are much more likely to have trouble in your life. With a healthier brain, it is fairly clear that you are happier, healthier, wealthier, wiser, and more creative. The health of the brain either accelerates innovation or decelerates it, and the thing that affects your brain health is your behavior. Your behaviors and what you learn every day affect the brain directly in the way of neuroplasticity. By using MRI technology, we can get images of the brain as shown in figure 1 where the first and third rows belong to the "Normal" category whereas the second and fourth rows belong to the "Abnormal" category [3] .

III. An Intriguing Case Study

Figure 2
Figure 2: Regions labeled with “**” in the above legend indicate bilateral GM. Further, (+) means positive correlation whereas (-) means negative correlation.
An interesting example of how learning changes our brain structure for the better of keeping it healthy is that bilingualism provides a protective mechanism against age-related cognitive decline, which was examined by a recent study by Jubin Abutalebi and David Green. These authors observed a group of aging participants from Hong Kong, who spoke either English and Chinese or Mandarin and Cantonese, then analyzed the brain structure and language performance of them with another group of monolinguals, whose mother language is Italian, in a picture-naming task in which L1 (monolinguals and bilinguals) and L2 (bilinguals only). The two groups were about the same age (mean age of 62), education, and cognitive abilities. The collected data showed that bilinguals had a greater GM (gray matter) amount than monolinguals, particularly in the left anterior division of the temporal pole (TP). Further ROI-based examinations also showed that the naming performance of the L2 group was positively proportional with the GM amount in the left TP. The authors inferred that the TP might play a significant role in bilingual lexical conceptual processing and that bilingual knowledge works as a protective factor to the rapid reduction of GM amount in this region in normal aging. Moreover, in figure 2, a representation of the regions that show increased GM amount with group comparisons of Bilinguals vs Monolinguals [4].

IV. You have to do the work!

The main operator of the modification in the brain is nothing but our behavior. So, there is nothing called a drug for neuroplasticity. Nothing is more efficient than practice and exercise. The bottom line is: You have to do the work. In fact, research has shown that increasing difficulty and struggle during practice at learning actually leads to more prominent development in the brain. The problem here is that neuroplasticity can work either the positive when you learn something new and skill or the negative way when you forget something or get addicted to drugs. The brain is remarkably plastic; it is shaped not only by what you do but also by what you don't do [1].

V. Conclusion

Behaviors that we employ every day are critical; they are changing our brains. So, when you have just finished reading this article now, your brain will not be the same as when you started reading. The amazing part is that every reader will change his brain differently. Understanding these differences and variabilities will enable the next great advance in the field of neuroscience. Study what you learn best. Repeat these behaviors that keep your brain healthy, and break those that make it unhealthy. Practice! Learning is all about doing the work that your brain requires. The best strategies are going to vary between people. Actually, it is going to vary within a single individual. For instance, one can learn to play the piano fast but struggle to play football. So, when you leave today, go out and build the brain you want!

VI. References

The correspondence of artificial intelligence with the psychological patterns, and application of recognition systems and gamification in accelerating recycling worldwide

Abstract Approaching the end of the last decade, artificial technology has been unutilized in fields such as healthcare, E-commerce, agriculture, etc. For the mere purpose of diminishing the inaccuracies found in human-adapted practices, Ai technology is aptly more sufficient; produces fewer errors and can be reformed and applied in numerous fields. The environmental companion—a product of AI technology—renovates the foundation of recycling. Now with access to a recycling medium, people can view their carbon footprints, monitor their plastic waste, and recycle their materials with gained virtual points.

I. Introduction

Plastic is drawn from two primary resources: ordinary littering and materials disposal, which eventually pile up in water bodies. For instance, the Danube River—the second largest river in Europe that flows into the mouth of the black sea, transports plastic materials reckoned at 4.2 metric tons into its drainage base. The interference of physical factors such as the wind and current flow determines the buoyance and movement of these plastic items within a water body. For example, windage contributes to measuring the force required to transporting these items.

Figure 1
Figure 4: Quantity of mismanaged plastic wastes
By the end of this disposition, plastic settles in water bodies in articulated spaces, eventually being eroded into debris by the external circumstances of sunlight, oxidation, and current. [1] The environmental conservation agency pronounced countries located at coastlines the foremost exporters of Plastic mismanagement (With a percentage of 83% impact) amongst which, Egypt sets atop in the seventh-place (69%), as shown below in the figure. Countries located at coastlines the foremost exporters of Plastic mismanagement (With a percentage of 83% impact) amongst which, Egypt sets atop in the seventh-place (69%), as shown below in figure 1.

II. AI application in mitigatingmismanagement

Recycling, unlike other disposal methods, is inhibited by factors such as commodity, availability, and collective efforts of the community. [2] Accordingly, difficulties with recycling are represented in the collection and sorting of plastic waste. Nevertheless, an AI system could mount up the adaption of recycling. For instance, if a system where plastic consumers could document, recycle, and gain virtual points in exchange for their plastic consumption could be the ultimate solution to change the stir in consuming these materials. The environmental companion, founded on the use of AI systems, virtual points, and the psychology of the market, meets the criterion in that it triggers the patterns of self-awareness of mostly Genz and millennials to detract the waste by-product of plastic consumption and production.

III. The philosophy behind the application

The environmental companion is an application wherein people access a credible medium through which they can recycle, be of zero plastic waste thereof. The application consists of three different sections, each articulated to a function, however, the sections abide by a certain feedback mechanism; recollected in the creation flowchart of this application, it was found out that users engaged seldomly when the application only consisted mostly of either texts or illustrative graphics. The primary (Environment-or I) section is the profile: where the data about the user is to be included, such as names, email addresses, and a unique code for this user. According to the app market, citing patterns of success, the sense of personalization renders more engagement with the overall process. Furthermore, the consistency of the sections’ pronunciations and the purpose of said sections draw the user to be more decisive when using the application. The primary section includes a display of the virtual points (environs) added at the end of every successful recycling procedure, these virtual points can be traded with biodegradable materials with partnering agencies such as the recycling local committee. The second is the data recorder. In this part, the consumers will be able to record their plastic usage data through AI recognizers that will recognize the serial code embedded on the material, the serial code details dimensions such as weight, volume, and density of the material. The third section is the activity curve, which showcases the immensity of plastic used and recycling occurrence in respect totime. According to the science of feedback, the user will mentally tie every rise and fall within the activity curve according to the virtual points they gain. Thus, this gamification system will trigger more engagement, more recycling thereof.

IV. Proceeding to the final step

Upon fulfillment of the recycling task, the users will be required to toss their materials into trash bins. These bins are exclusively designed with sensors of weight and volume. These sensors are not only compromised of a system that will recognize the dimensions but will also communicate data back and forth from the bin to the administrative application. These trash bins are designed for the sole purpose of collecting the to-be recycling materials andensuring credibility between the administrators and users as to when handing out virtual points to the users. When the user initiates a recycling process—by having the serial code recognized on the application, they will receive anemail of the foremost nearby trash bin in their proximity. Once the materials are deposited in the bin and the dimensions data are congruent: the recycling process will be affirmed, and the user will be notified of a rise in their virtual points.

V. Conclusion

The properties that give rise to plastic affordability, availability, and excessive use in the market, also give rise to the foremost pollutant in water bodies [3]. Thus, if consumed with the absence of treatment via recycling, the plastic could evidentially pile up in the habitats affecting both aquatic andland creatures. The debris of plastic directly influences the habitat of mussels, salt-march grasses, and corals, alongside creatures such as reptiles and turtles who rely on water18spaces for their survival. Ultimately, the mission to mitigate plastic use is collectively based on the empirical shifting in the regulations set by the environmental agencies worldwide. Thus, with a change such as that of implementing the environmental companion,the plastic crisis will eventually be eradicated.

VI. References

Open-source software in education: a modernreview of a case study

Abstract Since the rise of technology, many of the new folds of the new generations have been attracted to programming and computer science as their majors. This gave rise to large numbers of programmers all over the world with different skillsets and programming experiences. Open-source software (OSS) comes as a natural result of the wide variety of ideas that come to the minds of programmers and the collaborative nature of the field that emphasizes the creation of bigger software from smaller pieces of free and simple pieces. Open-source software has come a long way since the first piece of major OSS (the Linux kernel and its development [1]) and its importance in education has increased, this why this paper acts as a review of the current progress of OSS in education.

I. Introduction

Since the inception of OSS (open-source software), it has been a major source of revenue from operations in many places from small startups to international multimillion-dollar conglomerates and has become a popular stable in IT departments and any successful IT toolkit. With the Internet's arrival in the early 1990s, programmers from various locations around the world have been able to work together and distribute, share, and collaborate on software easily. Along with the various advantages of OSS, the vastly improved ability for developers to communicate has increased the outreach of OSS. The previously mentioned popularity of OSS gave rise to many important pieces of OSS that became a major part of modern-day software such as the Linus kernel and the GNU compiler collection -the C++ compiler in which is one of the most used-, Python, VLC, Mozilla’s Firefox, and Blender. In this article, the role and position of OSS in education are discussed. First, a history of OSS is given with the story of the first piece of OSS. Second, a case study on using OSS in education is studied and reviewed. finally, then compared to the possible outcomes if the same experiment is repeated in the modern-day.

II. History and Background

Since its creation, the history of open-source software has been filled with many achievements, failures, and unique events that give it its rich, vibrant and, interesting background. The history of OSS starts with Richard Stallman and the decline of free software back in the 1960s. back in the early days of early consumer electronics, most pieces of software were distributed in the form of physical media which contained both the source code (the human-readable code) and the machine code to execute these programs, the reason why both versions were backed was that early software needed to be modified by the user to run on different machines and systems. With the rise of computer operating systems, software development costs started to increase significantly relative to the development costs of hardware at the time, the increase in costs led to a slew of antitrust and copyright lawsuits to go through in the technology field. After the dust had settled many if not most of the software released was released without its source code and was only released with the necessary machine code to run it. This trend started to worry programmer and future free software activist Richard Stallman. He worried that now without legal access* to source code further collaborative modifications of software would not be possible. In 1983 Richard Stallman started the GNU (Gnu’s Not Unix) project in hopes of countering the closed-source trend. He also started the Free Software Foundation and invented “copyleft”. Copyleft was made to be the opposite of copyright for software, in it the freedom of contribution, modification, and redistribution of software was protected. He implemented copyleft into GNU’s General Public License which required any derivative work on software to also follow the same license, preventing any modifications of software to be turned into closed-source software. The term “open-source” was first coined by Stallman and another prominent programmer who had the same set of beliefs (such as Linus Torvalds) in hopes of appealing to bigger companions. The Open-Source Initiative was founded to further spread the usage of the term. The coining of the term came shortly after Netscape (a prominent internet company at the time) released the source code for their web browser in hopes of programmers helping them grow it further. When talking about the history of OSS, one cannot Linus Torvalds, the original creator of Linux (a Unix-like system) who added his creation to the OSS pool, accelerating Stallman’s vision of fully open-source computer life. Linux is now one of the most popular operating systems, due to its open-source nature comes in tons of varieties that serve multiple purposes from normal desktop use to server operating systems to the main operating system for cybersecurity testing. **(compiled machine code of a lot of programming can still be converted back into source code using decompilers, but it is illegal under copyright laws that prevent reverse-engineering of software)

III. OSS in Education: Case Study by Swansea University [2]

i. Prerequisites and background

In the case study presented in the paper “Open-Source Software in Computer Science and ITHigher Education: A Case Study”, which was published in 2011, students in Swansea University were given a completely open-source setup that included a full IT setup starting from the text editor for the students to the operating system of the server and the database software for the said server. The academic year included three main courses: Data Structures and Algorithms using Java, Rapid Java Application Development (an advanced Java class), and Design and Analysis of Algorithms. The presented goals for the classes themselves were for the teacher to have to devices (Desktop and laptop) that were linked together securely through a server which also served both static and dynamic pages to the students. The second goal is for the teacher to have a wide range of software to fully deliver a successful class, the software kit had to be fully open-source and had to include the basics such as a web browser, text editor, and an email client and also advanced software such as an IDE (integrated development environment) and a program to create presentations and diagrams for the students.

ii. Used Software

For the case study the software used was as follows:

  • Mozilla Firefox as the web browser of choice and Evolution as the mail client allowing for mail organization and calendar management.
  • LaTeX, was a big part as it was chosen as the word processor and the presentation software’s base (Prosper), this was due to its advanced nature and multitude of features.
  • Prosper, a LaTeX based presentation package with important features such as incremental display, overlays, transition effects. Xfig was used as a drawing tool for creating vector graphics.
  • For the IDE Netbeans IDE was used to edit and debug Java, JSP, and HTML code.

iii. Results

In the original paper reviewing the case study, three aspects were observed when the results were collected.

Table 1
Table 1: The cost of OSS setup
First was cost, open-source software by nature comes free of charge. So, to calculate the cost difference the OSS setup was compared to an equal educational functionality setup using normal proprietary software (shown in table 1) The results in cost were that using OSS reduced the individual cost of employing significantly but had the chance to raise administrative costs depending on whether further training to use the OSS was required or not.

Second came student appeal, the paper found that there were two main reasons why OSS might appeal to a university student. First, was that cost reduction did not just affect the professor and the school but also the student, the reason for which is because these same students might want to use the software they use in university at home or even in personal projects or small startups, with the cost reduction of OSS this significantly improves the promotion of entrepreneurship. Second, exposing computer science students to software that they can themselves change and modify according to their needs and wills is an immense boost to their hands-on experience in software development. Third came the ease of use, in this aspect specifically the upper hand went to proprietary software due to it being more mature and more widespread to use.

IV. Results with Modern Improvements in Mind

In this part of the article, the three previously mentioned result aspects of the original paper are looked upon from a modern outlook. First, the cost has not changed that much since the current plan for big technology companies to compete with OSS is to either give high educational discounts (where OSS still wins with its free nature) or to offer more stripped-down versions of their software lineups for free (ex. free Office online vs paid Office 365) where OSS still gets the upper hand due to the developers not looking for a profit through upfront cost and so adding the full feature set. Second, the appeal for computer science has only gone up, this comes as a result of the ever-increasing nature of the software development and OSS industries where the more experience a student has with software development the higher the chance, they get employed post-graduation [3] . Finally, ease of use, which out of the three studied aspects is the one that faced the most positive change. The positive change of usability of OSS comes as a result of the general maturity of the OSS industry and the increased experience and numbers of OSS developers which led to higher quality and functional software that is easier to use. It also does not stop there as there have been many pieces of research that only serve to improve usability in OSS [4] .

V. Conclusion

In conclusion, Open-source Software has improved significantly since the early days of its adoption, this resulted in it improving a lot on its downsides while keeping its main advantage (freedom and freeness of use) safe and secure. It also has come a long way since the writing of the original paper as shown in the modern look section of the article. The improvements in the field of OSS and the increasing importance of participating in it only serve to increase the importance of integrating it into modern higher-level education to help students prepare for the competitive work market and future endeavors.

VI. References

Proxima Centauri B, the nearest Earth-like planet

Abstract With the finding of an Earth-like planet circling Proxima Centauri, the star closest to Earth and part of a three-star system, our small, lonely piece of space became a tiny bit less lonely in 2016. Proxima Centauri B is an earth-like planet with 1.5 times the mass of Earth. Alpha Centauri is orbiting its star in its habitable zone, where the ideal conditions for liquid water exist. One of the most fundamental ingredients in kicking off life is liquid water. When scientists examine exoplanets, they look for specific characteristics that indicate whether or not they might inhibit life.

I. Introduction

Scientists began actively searching for exoplanets in 1917, but it wasn't until 1992 that the finding of numerous mass planets around pulsar PSR B1257+12 led to the first real detection of an exoplanet. This was only the beginning; since 1992, there has been a significant rise in the discovery of exoplanets, with over 4700 exoplanets discovered in 3490 star systems as of 2016. Proxima Centauri B is one of the most recent discoveries. [1] Proxima Centauri B is a super-earth orbiting in the habitable zone of the Alpha Centauri star system, which is a three-star system. The Alpha Centauri star system positioned 4,2 light-years away from the sun in the southern constellation of Centaurus, is the nearest star system to the sun. In 1915, Scottish astronomer Robert Innes, director of the Union Observatory in Johannesburg, South Africa, found Proxima Centauri, which was too faint to be viewed by the naked eye. Proxima Centauri B was discovered in 2016 using the radial velocity approach and the parent star's periodic Doppler effect. [2] Proxima Centauri B, a super earth with a mass estimated to be 1.17 times that of Earth, orbits the M-type red dwarf in an eleven-day year in its habitable zone, which provides ideal conditions for liquid water to exist, as well as the possibility of an atmosphere and life, even if only microorganisms.

II. Discovery and Observation

The Pale Red Dot campaign, coordinated by Guillem Anglada-Escudé of Queen Mary University of London, was searching for a small back and forth wobble in the star induced by the gravitational force of a possible orbiting planet. A minor gravitational influence of then labeled Proxima Centauri B on its host star, called Proxima Centauri; a red dwarf star in its star system that is overshadowed by its neighboring stars Alpha Centauri AB. Previous research has suggested the presence of a planet orbiting Proxima. Every 11.2 days, something appeared to be occurring to the star, according to data. However, scientists couldn't say if the signal was created by an orbiting planet or by another form of activity like stellar flares. The pale dot campaign was able to confirm the existence of Proxima Centauri B. in 2016 by using Doppler spectroscopy, also known as the radial-velocity method, which involves making a series of studies of the spectrum of light radiated by a star; [6] The wavelength of distinct spectral lines in the spectrum increases and decreases periodically throughout time, indicating periodic fluctuations in the star's spectrum.

Figure 1
Figure 1: Velocity of Proxima Centauri towards and away from the Earth as measured with the HARPS spectrograph
(As shown on figure 1) The measurements were done using two spectrographs, HARPS on the ESO 3.6 m Telescope at La Silla Observatory and UVES on the 8-meter Very Large Telescope. [2] The peak radial velocity of the host star combined with the orbital period allowed for the minimum mass of the exoplanet to be calculated.

III. Physical Characteristics

i. Physical Attributes

Figure 2
Figure 2: An artistic conception of the surface of Proxima Centauri B
Due to the astronomical distance between Earth and Proxima Centauri B, it is difficult to get accurate measurements of the super-earth but approximate measurements can be achieved. [1] The apparent inclination of the planet’s orbit has not been measured. An estimated guess of the exoplanet’s mass is between 1.17 and 2.77 earth’s mass. The planet’s orbit has been calculated to 0.05 AU, for comparison Mercury’s orbit is 0.40 AU from the sun. The exoplanet might be tidily locked, which means that one side of the planet always faces the star. [7] Proxima Centauri B (as shown in figure 2) orbits its red dwarf once every 11.2 days at a semi-major axis. With a thick enveloping hydrogen and helium atmosphere; this likelihood has been calculated to be greater than 10%. The planet has an equilibrium temperature of 234 K.

ii. Host Star

[1] Proxima Centauri is a small, low-mass star located 4.2465 light-years away from the Sun in the southern constellation of Centaurus. Proxima Centauri is a red dwarf star with a mass of about an eighth (12.5%) of the Sun's mass and an average density of about 33 times that of the Sun. Red dwarfs are known to be the longest living stars compared to the other types of stars in the main sequence. The estimated life expectancy of a typical red dwarf is in the tens of trillions of years.

IV. Habitability

A great number of elements from various sources are proposed to affect the habitability of red dwarf systems. The low stellar flux, high possibility of tidal locking, limited habitable zones, and significant stellar variation that planets of red dwarf stars face are all obstacles to their habitability. [4] Proxima Centauri B is no different than any other exoplanet orbiting a red dwarf; the planet is subjected to stellar wind pressures more than 2,000 times that of Earth. It is most likely orbiting its host star in its habitable zone, making liquid water more likely to exist, however, this has yet to be confirmed. The stellar wind and the high radiation will likely weather away any atmosphere making the only hospitable area is the subspace of the planet [5]. In the most fortunate situation where water and an atmosphere are present, a hospitable environment will occur were oceans and temperatures close enough to that of earth. Microorganisms might have evolved to endure the extreme of their planet, but as far as carbon lives then it will be close to impossible to occur.

V. Conclusion

We might not ever get our first interstellar greeting, but the fact that there is a habitable planet right in our cosmic neighborhood. Proxima Centauri B is a sign that our efforts are not meaningless. All the questions have not been answered; scientists think they can scan the planet’s atmosphere for oxygen, methane,and water vapor utilizing ESPRESSO and SPHERE on the VLT.[5] The James Webb Space Telescope may be able to characterize the atmosphere of Proxima Centauri b. Proxima Centauri B was a scientific breakthrough and the starting of the discussion for send interstellar probes looking for neighboring planets and habitable planets. The company Breakthrough initiative and (ESO) are planning on sending a fleet of probes to the Alpha Centauri system; the probes will be able to reach 20% of the speed of light reaching Alpha Centauri in 20 years.

VI. References

The Brain Network when solving Mathematics

Abstract The human is honored among the other species by his brain. This brain took a lot of scientist’s attention for a lot of years passed and others still to come. New technologies helped scientists to learn more about the brain which led them to achieve a leap in neuroscience gathering a lot of information. Every day our brains are introduced to different problems that are required to be solved. It is not important what level of difficulty these problems are as your brain will respond the same. Solving problems take place through a series of four steps of encoding, planning, solving, and responding. In these stages, different far regions should collaborate to solve them. This collaboration is done by forming networks between these meant regions. So, the stronger the network between these regions results in more success in solving everyday problems. Math problems with their four domains differ from normal non-math problems according to the active sites in the brain.

I. Introduction

The human is distinguished by his brain. This small organ that is unique for humankind is a mystery until now and this is because of its contributions in almost every action you do. This mysterious organ is a mystery. Even when you are at rest, it is very active. After the introduction of new technologies like magnetic picturing and others, it became possible to take pictures of the brain monitoring it during different actions for a better understanding of what happens in it. And this is what helped in the flourishing of neuroscience getting some information about the brain. From this information is a mechanism for an action your brain can do almost every day which is doing mathematics. Doing mathematics is introduced to everyone’s brain regularly. These problems vary in their difficulty from simple arithmetic operations to advanced problems. Scientists have wondered a lot about what happen during solving these problems and can solving simple problems be done by the same regions of the brain responsible for solving more advanced ones, and by exploiting new technologies in neuroscience the brain was photographed to pass a four steps process reaching to a solution for the problem. [1]

II. Stages of solving problems

Figure 1
Figure 1: Four scans showing the brain activity during the four steps of solving a problem
Relying on functional magnetic resonance imaging scientists captured four images four the brain reflecting the four stages it passes by during solving a problem as illustrated in figure 1.

Furthermore, John R. Anderson and his team from this study found how different regions of the brain work in four stages solving the problem. These stages according to this study are encoding, planning, solving, and responding. [2] The four stages are done by different places of the brain, so the completion of this process is done by a connection of certain regions forming a network to solve problems. It doesn’t depend only on how effectively each region did its work, but the successin solving mathematics problems can be measured by how well these certain regions form a network collaborating with each other. [3]

III. Your brain’s response to doing mathematics

Figure 2
Figure 2: Mathematical expertise effect: Interaction indicating a greater difference between meaningful math and non-math statements in mathematicians than in controls.
It was found from brain scans on doing mathematics regions like bilateral intraparietal sulci (IPS), bilateral inferior temporal (IT) regions, bilateral dorsolateral, superior, and medial prefrontal cortex (PFC), and cerebellum seems to be very active. It doesn’t depend only on one of these regions, but it needs all these regions to collaborate together to solve a problem, no matter what this problem is as it turned out that the brain reacts the same on solving the four domains of mathematics as shown in figure 2. [4]

IV. The difference between the various level of problems on brain

Figure 3
Figure 3: This figure shows the effect of subjection to difficult and easy math and difficult and easy non-math.
Solving problems scales from simple arithmetic operations to difficult ones. For instance, it can be simple as solving 1 + 1 = 2, or hard as solving Euler’s formula 𝑒ⅈ𝜋 + 1 = 0. Although a lot of people find the first problem easy that they can solve, while only a few can solve the difficult one, solving both problems activate the same areas of solving an ordinary problem without any difference. And it was found that the difficulty of the problem doesn’t influence what regions needed to solve the problem as illustrated in figure 3. [4]

V. Conclusion

Mathematics and non-math problems differ a lot according to the brain’s reaction to each one. It doesn’t matter the difficulty of each question as difficulty didn’t affect your brain’s reaction. The two types showed a great difference in the response from the brain as each type has certain areas required for solving them. What makes this brain mysterious is how the certain regions that are set to do a certain task, for example, solving a mathematics problem collaborate together forming a network that can be responsible for solving this problem.

VI. References

Contact Us

Reach to us about ideas, suggestion or any questions you have!

Website Managers: Mikhael Mounay | Mohanad Elagan

© 2020-2024 All Rights reserved | Youth Science Journal